1

1

2

2

3

3

4

4

5

5

6

6

7

7

8

8

9

9

10

10

11

11

12

13

Starting Orthodontics Treatment is Easy

Get Started From Anywhere at Anytime

Lets Face it : Life is HECTIC ! Your time is precious. when you are going to find the time in your busy day to find out about orthodontics treatment ? Thats why we offer our virtual consult. tool You can start your or your childs orthodontics journey anytimeanywhere using only your mobile device Let us know what you want from us when it comes to your oral health we are here for you !

Lets Get started

We will send you a link to your phone to start your virtual consult, It will only take a few minutes and you can do it fromanywhere

Have you worn braces or invisible aligners in the past ?

What is your smile transformation goal ?

Show us your smile

Accepted File type Jpg, Jpeg, Gif, Png, Pdf, Heic, Max file size 512 MB

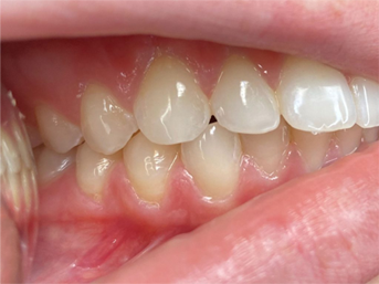
Photo 1 - Right bite

Bite down on your regular bite with back teeth touching pull back your right cheek as far as you can snap picture looking directly at the right side of your mouth

Show us your smile

Accepted File type Jpg, Jpeg, Gif, Png, Pdf, Heic, Max file size 512 MB

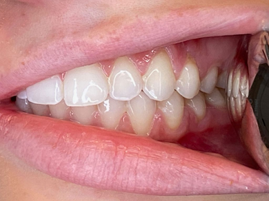
Photo 2 - Right bite

Bite down on your regular bite with back teeth touching pull back your right cheek as far as you can snap picture looking directly at the right side of your mouth

Show us your smile

Accepted File type Jpg, Jpeg, Gif, Png, Pdf, Heic, Max file size 512 MB

Photo 3 -Right bite

Bite down on your regular bite with back teeth touching pull back your right cheek as far as you can snap picture looking directly at the right side of your mouth

Show us your smile

Accepted File type Jpg, Jpeg, Gif, Png, Pdf, Heic, Max file size 512 MB

Photo 4 -Right bite

Bite down on your regular bite with back teeth touching pull back your right cheek as far as you can snap picture looking directly at the right side of your mouth

Show us your smile

Accepted File type Jpg, Jpeg, Gif, Png, Pdf, Heic, Max file size 512 MB

Photo 5 -Right bite

Bite down on your regular bite with back teeth touching pull back your right cheek as far as you can snap picture looking directly at the right side of your mouth

Show us your smile

Accepted File type Jpg, Jpeg, Gif, Png, Pdf, Heic, Max file size 512 MB

Photo 6 - Right bite

Bite down on your regular bite with back teeth touching pull back your right cheek as far as you can snap picture looking directly at the right side of your mouth

Show us your smile

Accepted File type Jpg, Jpeg, Gif, Png, Pdf, Heic, Max file size 512 MB

Photo 7 - Right bite

Bite down on your regular bite with back teeth touching pull back your right cheek as far as you can snap picture looking directly at the right side of your mouth

Show us your smile

Accepted File type Jpg, Jpeg, Gif, Png, Pdf, Heic, Max file size 512 MB

Photo 8 - Right bite

Bite down on your regular bite with back teeth touching pull back your right cheek as far as you can snap picture looking directly at the right side of your mouth

Patient Information

Preferred Method of contact

I am a ....

Choose your consultation
Put your insurance
What type of treatment are you considering?
When are you looking to start treatment?
Thank You

High-five for submitting that! Your results will be ready in 24-48 hours. Meanwhile, keep those pearly whites shining bright with a daily dose of brushing and flossing. Tooth be told we can’t wait to send your results!" πŸ¦·πŸ‘‹πŸ˜